| Variation name (cDNA level) | Variation name (protein level) | Variation status | Variation class |
| c.3914dup | p.Leu1306AlafsX5 | Hemizygous | Mutation |
| wt codon | wt aa | mutant codon | mutant aa | mutational event | mutation type |
| GTG | Val | ins1c | Fs. | Stop at 1310 | Fr. |
| Structure | Key Residue (HCD) | Pyrimidin doublet | CpG |
| CRD-repeat #9 |
| At the mRNA level | On restriction map |
| r.3914dup | New restriction site(s): none Lost restriction site(s): none |
| On isoforms (a blue cell indicates that the corresponding isoform is affected by the mutation) | ||||||
| Dp 427c | Dp 427m | Dp 427p | Dp 260 | Dp 140 | Dp 116 | Dp 71 |
| Immunofluorescence | ||
| dys 1 | dys 2 | dys 3 |
| No signal | No signal | No signal |
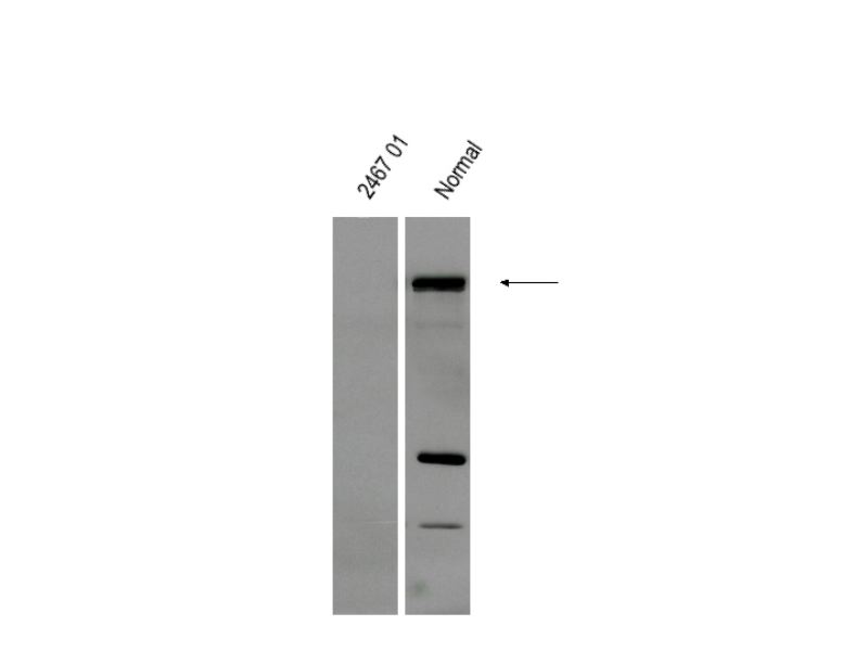
| Western Blot | ||
| dys 1 | dys 2 | dys 3 |
| No signal | No signal |
| Sample ID | Patient status | Gender | Transmission | Age of onset | Age of death | Geographic origin |
| ---246-0-1 | Proband | Male | De novo | FRANCE |
| Phenotypic group |
| DMD |
DYS I |
DYS II |
Myosin |
| Reference ID | PubMed ID | Reference |
| 10 | 17041906 | Deburgrave N, Daoud F, Llense S, Barbot JC, R*can D, Peccate C, Burghes AH, B*roud C, Garcia L, Kaplan JC, Chelly J, Leturcq F. Protein- and mRNA-based phenotype-genotype correlations in DMD/BMD with point mutations and molecular basis for BMD with nonsense and frameshift mutations in the DMD gene. Hum Mutat. 2007 Feb;28(2):183-95. |