| Variation name (cDNA level) | Variation name (protein level) | Variation status | Variation class |
| c.6439_7872del | p.Glu2147_Lys2624del | Hemizygous | Mutation |
| wt codon | wt aa | mutant codon | mutant aa | mutational event | mutation type |
| GAA | Glu | del1434a | InF | In frame del | InF |
| Structure | Key Residue (HCD) | Pyrimidin doublet | CpG |
| CRD-repeat #17 |
| At the mRNA level | On restriction map |
| New restriction site(s): none Lost restriction site(s): none |
| On isoforms (a blue cell indicates that the corresponding isoform is affected by the mutation) | ||||||
| Dp 427c | Dp 427m | Dp 427p | Dp 260 | Dp 140 | Dp 116 | Dp 71 |
| Immunofluorescence | ||
| dys 1 | dys 2 | dys 3 |
| Mosaic High | Normal | Mosaic High |
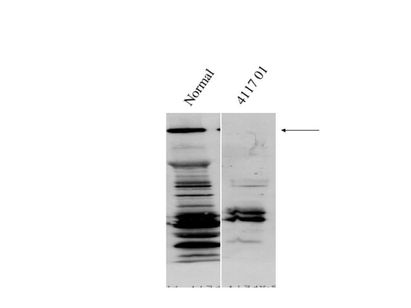
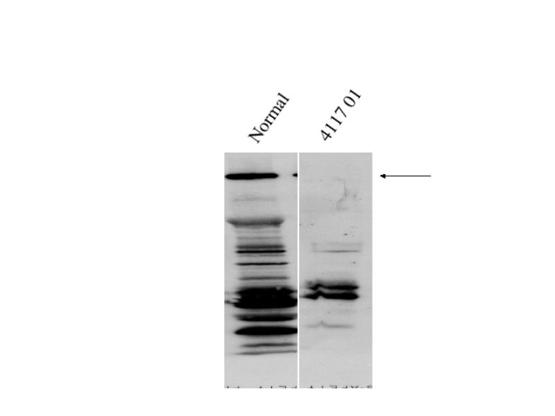
| Western Blot | ||
| dys 1 | dys 2 | dys 3 |
| Sample ID | Patient status | Gender | Transmission | Age of onset | Age of death | Geographic origin |
| ---411-0-1 | Proband | Male | Unknown | 8 | FRANCE |
| Phenotypic group |
| BMD |
DYS I |
DYS II |
Myosin |
| + Psychosis |
| Reference ID | Reference |
| 1 | Unpublished data |