| Variation name (cDNA level) | Variation name (protein level) | Variation status | Variation class |
| c.7310_7872del | p.Pro2438ValfsX17 | Heterozygous | Mutation |
| wt codon | wt aa | mutant codon | mutant aa | mutational event | mutation type |
| TCT | Ser | del563b | Fs. | Stop at 2454 | Fr. |
| Structure | Key Residue (HCD) | Pyrimidin doublet | CpG |
| CRD-hinge region #3 |
| At the mRNA level | On restriction map |
| New restriction site(s): none Lost restriction site(s): none |
| On isoforms (a blue cell indicates that the corresponding isoform is affected by the mutation) | ||||||
| Dp 427c | Dp 427m | Dp 427p | Dp 260 | Dp 140 | Dp 116 | Dp 71 |
| Immunofluorescence | ||
| dys 1 | dys 2 | dys 3 |
| Western Blot | ||
| dys 1 | dys 2 | dys 3 |
| Sample ID | Patient status | Gender | Transmission | Age of onset | Age of death | Geographic origin |
| ---122-0-2 | Proband | Female | Familial |
| Phenotypic group |
| Symptomatic carrier |
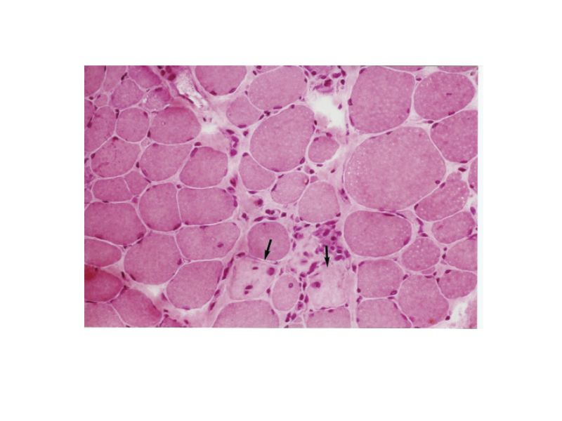
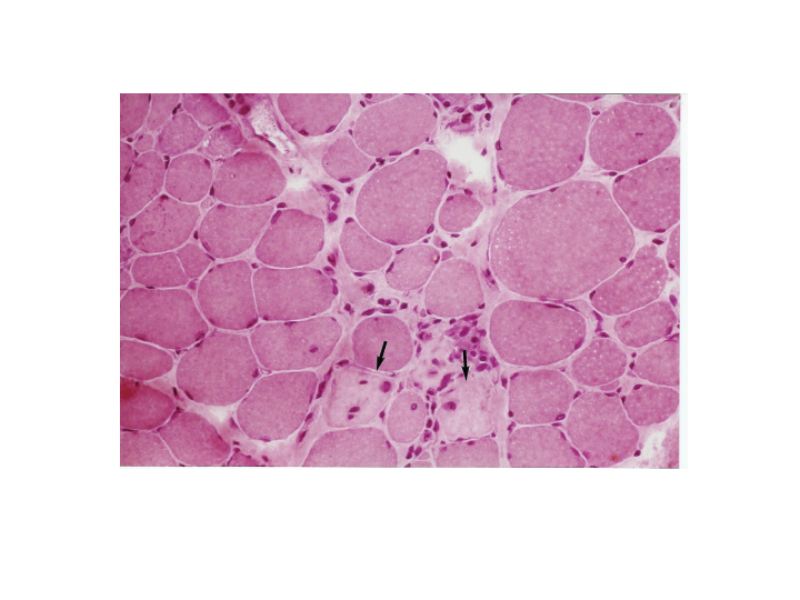
DYS I |
DYS II |
figure 1 |
figure 2 |
| DMD carrier - symptomatic |
| Reference ID | PubMed ID | Reference |
| 5 | 8168835 | Tihy F, Vogt N, Recan D, Malfoy B, Leturcq F, Coquet M, Serville F, Fontan D, Guillard JM, Kaplan JC, et al."Skewed inactivation of an X chromosome deleted at the dystrophin gene in an asymptomatic mother and her affected daughter."Hum Genet. 1994 May;93(5):563-7. |